Servicios dentales para niños
¿Qué es la ortopedia dental en niños?
Ortopedia dental para niños
La ortopedia dental en niños es una rama de la odontología que se enfoca en la corrección de problemas relacionados con la estructura ósea y facial de la boca de los niños. Esta especialidad está diseñada para tratar tempranamente los problemas de mordida, dientes apiñados y otros problemas dentales que puedan afectar el desarrollo óseo de la mandíbula y la dentadura de los niños.
De esta manera, se busca evitar problemas mayores a largo plazo y garantizar la buena salud bucal en un futuro. Un tratamiento de ortopedia dental temprano también puede prevenir la necesidad de un tratamiento de ortodoncia complicada en la adolescencia o incluso en la edad adulta. Es importante llevar a los niños a una consulta con un especialista en ortopedia dental para corregir problemas dentales a temprana edad y garantizar una buena salud dental a largo plazo.
La ortopedia dental se puede iniciar desde los 4 años
Suele ser un tratamiento cómodo y corto
¿Cómo saber si un niño necesita ortopedia dental?
Para saber si un niño necesita ortopedia dental, es importante observar la manera en que sus dientes y mandíbula se están desarrollando. Algunas señales de que el niño puede necesitar atención de ortopedia dental incluyen dientes torcidos con apiñamiento, mordida cruzada, mordida abierta, mandíbula desplazada o problemas para hablar, masticar correctamente, asimetría facial o alguna deficiencia en erupcionaron o dentición dentarias. También es importante que los padres estén alerta a cualquier dolor o molestia oral que experimente el niño. En algunos casos, el dentista o el ortodoncista pueden recomendar una evaluación temprana para detectar problemas potenciales y tomar medidas para corregirlos antes de que empeoren. La edad recomendada para la primera consulta de ortopedia dental es alrededor de los 7 años, pero en algunas situaciones se puede requerir atención antes. Es importante recordar que una buena salud bucal es importante para el bienestar general del niño y para su autoestima.
¿Donde encontrarnos?
Encuentras la clinica
Tomar una cita
Apunta una cita para tu niño
Agenda por WhatsApp
¿Que se corrige con la ortopedia dental?
La ortopedia maxilar se encarga de corregir problemas ocasionados por la posición incorrecta de los huesos y dientes en la mandíbula y el maxilar. Esta rama de la odontología se enfoca en tratar malformaciones y deformidades que pueden estar causando trastornos en la articulación temporomandibular, la respiración, la deglución y la fonética. En la mayoría de los casos, se utilizan aparatos ortopédicos que ayudan a modificar la posición de los dientes y la mandíbula, logrando una mejor alineación y una corrección de problemas como la sobremordida, la mordida abierta, la mordida cruzada y la mandíbula demasiado pronunciada o retraída. La ortopedia maxilar es una especialidad que busca mejorar la función y la estética de la boca y el rostro, logrando una armonía y equilibrio adecuados.
Cuando la intervención ortopédica no es necesaria, el ortodoncista vigilará cuidadosamente el crecimiento y el recambio dental cada 6 meses hasta que el niño finalice el recambio dental.
Seguimos los lineamientos de la sociedad de ortopedia dental Mexicana.
Se feliz con tu sonriza
¿Cuál es el mejor momento para comenzar un tratamiento de ortopedia?
El momento ideal para comenzar un tratamiento de ortopedia depende del problema específico que tenga el paciente. En general, es recomendable buscar ayuda cuanto antes si se experimentan dolor o molestias en las articulaciones o en los huesos, o si se tiene alguna deformidad física o limitación en la movilidad. Un diagnóstico y tratamiento tempranos pueden prevenir que el problema empeore y reducir las posibilidades de que sea necesaria una cirugía invasiva en el futuro. Además, la edad del paciente también puede ser un factor importante en determinar cuándo comenzar el tratamiento, ya que algunos padecimientos ortopédicos pueden ser más difíciles de tratar en personas mayores. Por lo tanto, es importante consultar a un especialista en ortopedia para obtener un consejo profesional y personalizado sobre cuál es el mejor momento para comenzar el tratamiento en cada caso específico.
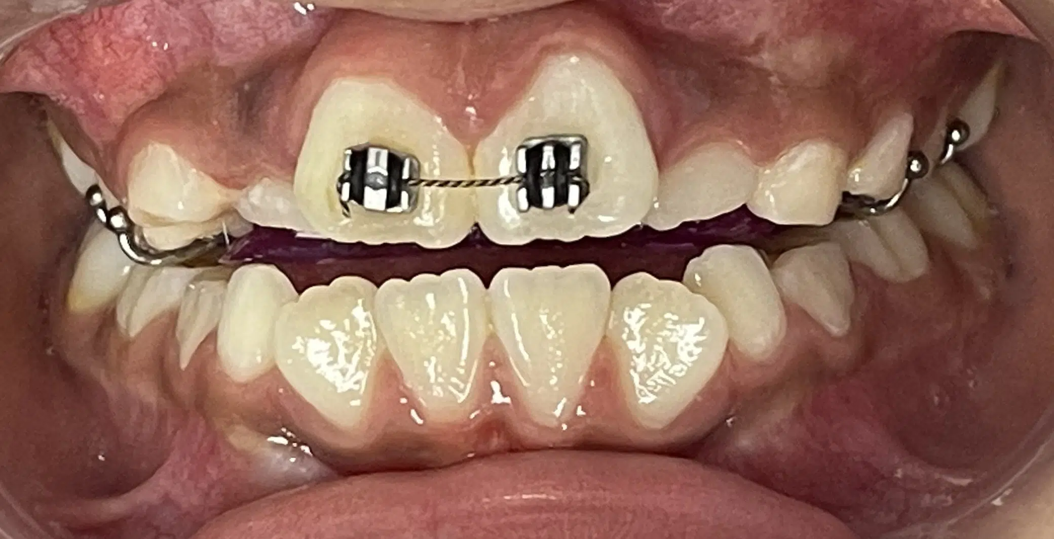
Aparatos de ortopedia
Los aparatos de ortopedia dental son dispositivos especializados y personalizados diseñados para corregir problemas de alineación dental y de mordida. A menudo, estos aparatos son utilizados por los dentistas y ortodoncistas para corregir problemas dentales y esqueléticos en los pacientes jóvenes, aunque también pueden ser utilizados por personas de todas las edades. Los aparatos de ortopedia dental pueden variar desde frenos de metal tradicionales, hasta alineadores invisibles y plásticos que se ajustan a los dientes. Estos dispositivos aplican una presión constante a los dientes y mandíbula que con el tiempo puede cambiar la ubicación de los dientes y la estructura ósea para lograr una sonrisa más sana, estética y funcional. Los aparatos de ortopedia dental son una forma eficaz de corregir una variedad de problemas dentales, estos pueden ser de tipo fijo o removible incluyendo dientes apiñados, anomalía, sobremordida, submordida y espacio excesivo entre los dientes, y pueden mejorar significativamente la salud oral y la autoestima de un paciente.
Qué es la ortopedia maxilar, tipos y duración del tratamiento
¿Qué profesionales tratan tratamientos de ortopedia dentofacial?
Los profesionales que tratan tratamientos de ortopedia dentofacial son los ortodoncistas. Los ortodoncistas se especializan en la alineación y corrección de la dentadura y las mandíbulas para mejorar la estética y la funcionalidad de los dientes y la mordida.
En general, la ortopedia dentofacial es una disciplina que busca corregir problemas dentales en especial lo de el hueso maxilar y la mandíbula y mejorar la calidad de vida de las personas al proporcionarles una sonrisa saludable y hermosa.
¿Cuál es la diferencia entre ortodoncia y ortopedia?
La ortodoncia y la ortopedia son dos especialidades diferentes dentro de la odontología. La ortodoncia se enfoca en el alineamiento y la colocación correcta de los dientes y la mandíbula, mientras que la ortopedia se enfoca en la corrección de problemas estructurales en la mandíbula y en la cara. Es decir, mientras que la ortodoncia trabaja principalmente en la alineación de los dientes, la ortopedia se enfoca en problemas más amplios relacionados con la mordida, como las malformaciones maxilares (por ejemplo, el síndrome de apnea obstructiva del sueño) y la mandíbula.
Ventajas de Dentistakids en ortopedia maxilar
Nuestra clínica dental Nuestra clínica dental ofrece los mejores servicios dentales en la zona. Contamos con un equipo de dentistas altamente capacitados y con más de 10 años de experiencia en el cuidado de la salud bucal. . Nos esforzamos por proporcionar un ambiente acogedor y amigable para hacer que cada visita sea lo más placentera y relajante posible. ¡Visítenos y descubra cómo podemos ayudarlo a lograr la mejor sonrisa posible!
Nuestros servicios
Nosotros te cuidamos
En nuestra clínica dental, cuidamos a los niños de varias maneras para garantizar su salud dental. Nos aseguramos de crear un ambiente amigable y acogedor para que los niños se sientan cómodos y relajados. Realizamos exámenes regulares para detectar cualquier problema dental temprano y tratarlo antes de que empeore. Enseñamos a los niños a cepillarse y usar hilo dental de manera efectiva para prevenir la caries y la enfermedad de las encías. Ofrecemos tratamientos preventivos, como fluoruro y sellantes, para proteger los dientes de los niños. Tambien, entendemos que cada niño es único, por lo que brindamos atención personalizada para satisfacer las necesidades individuales de cada paciente.
Doctores














